|
|
 |
 |
|
Recent Success with special, different and critical cases;
|
 |
 |
|
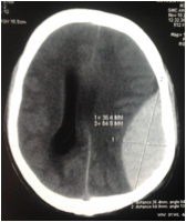
Delayed EDH after assault:
31 year male was assaulted with wooden stick. 24 hours later he developed altered sensorium. He was initially managed in some primary center and 36 hours later was referred to us. On evaluation he was found to be comatose [ GCS=7] with right sided weakness. CT head showed large left parietal EDH with overlying compound depressed fracture. He was taken up for emergency evacuation. He became conscious in 4 hours after surgery. Post op patient was kept on endotracheal tube for 18 hours and then was successfully extubated. His weakness on right side gradually started improving.
Even though there was a delay of almost 36 hours after patient worsened in the primary center; urgent evacuation on arrival resulted in a satisfactory outcome.
|
|
|
 |
 |
|
Successful Management of Open Brain Injury:
55 year old male presented to us with history of road traffic accident while driving a two wheeler. He had consumed alcohol and was not wearing helmet. He had open skull injury. His frontal bone was fractured and there was skin loss with exposed bone fragments. Wound was highly contaminated. He had underlying frontal lobe contusions. He also had fracture of both bones of his right leg. He was initially resuscitated and skull wound was washed in emergency in view of low blood pressure. Antibiotics and antiepileptics were started. After stabilization he was taken up for emergency debridement in Operation Theater. During surgery damaged brain was removed cautiously. Dirty bone pieces were discarded. Skin edges were freshened and primary closure was done. Post operative period was uneventful and patient was successfully weaned of ventilator in 12 hours. He regained full consciousness in 12 hours and was started on tube feeding. Antibiotics were continued as per standard protocol for compound fractures. A simple Helmet use could have avoided all this damage.
|
|